اطلاعاتی بسیار خلاصه و مفید در مورد دوره دندانی شیری:

دوره دندانی شیری در نزد اطفال 3.5-8سال عمر می‌کند ، تعداد شان 20 عدد بوده که تکامل آنها در حیات داخل رحمی صورت گرفته و از سن 6ماهگی بعد از تولد شروع به خروج می‌کند و تا 2.5 سالگی بعد تولد تکمیل می‌شود، دندان ها شیری دارای جایگزین یا همانا دندان ها دایمی می‌باشد که در موعد منظم شروع به افتادن می‌کند تا دندان ها دایمی یا دندان ها ثانوی جایگزین گردد.

 

شروع افتادن دندان ها شیری از سن 6  سالگی بوده و تا 13 سالگی تکمیل می‌شود. فکین اطفال کوچک است و فضا کم برای دندان ها در نظر گرفته شده است بنا دندان ها شیری کوچک بوده و همین کیفیت را دارند. وقتی شخص بزرگ شود نیاز به دندان ها بیشتر ، قوی تر و بزرگ‌تر دارد تا به این ترتیب توسط دندان ها دایمی که بزرگتر و تعداد آنها بیشتر هست جایگزین می‌شوند، دندان ها شیری همانند دندان های دایمی از سه جز تاج crown ، عنقcervix و ریشه root تشکیل شده و در هر نصف فک 5 عدد میباشند.

از زمان شروع رویش دندان ها شیری نیاز به مراقبت و کنترل بهداشت داشته که توسط والدین انجام می‌شود تا این که خود طفل قادر به انجام برس کردن و نخ کردن شود. در صورت بروز هر گونه مشکل و کرم خوردگی دندان ها شیری نیاز به درمان پیدا می‌کنند که با مراجعه به دندان پزشک اطفال این درمان انجام می‌شود. دندان ها شیری باید تا زمان متوقع افتادن آنها جهت جلوگیری از مشکلات در تغذیه طفل ، صحبت کردن و مهم تر از همه حفظ فضا برای دندان ها دایمی درمان شده و حفظ گردند.

درمان های معمول که برای نجات دندان شیری انجام می‌شود:

درمان ریشه در دندان ها شیری

پروسه است که طی آن عصب دندان از بین رفته یا آلوده شده به انتانات باکتری‌هایی از سیستم کانال ریشه حذف ، سیستم کانال ریشه تمیز شده و شکل داده می‌شود و در نهایت توسط مواد مختص به ریشه درمان می‌شود.

درمان جراحی در دندان های شیری

در نزد اطفال هر دو کتگوری جراحی ها کبیره و ضغیره قابل انجام است اما بیشتر پروسیجر های که معمول است کشیدن دندان ها hopeless از سبب عوامل مختلف همچون آفات انتانی ، حوادث تروماتیک ، فقر اقتصادی و مقاصد اورتودنسی می‌باشد.

درمان اورتودنتیک در دندان ها شیری

درمان اورتو به صورت اولیه جهت جلوگیری و اصلاح بی نظمی ها بافت دندانی استفاده می‌شود. از جمله عوامل عمده و دخیل در ایجاد این بی نظمی ها شامل : عوامل مربوط به جنیتیک ، از دست دادن قبل از وقت دندان ها شیری و عادات ناپسند همچون مکیدن انگشت می‌باشد، اصلاح این ناهنجاری ها به کمک وسایل ثابت و متحرک اورتودنسی قابل انجام است.

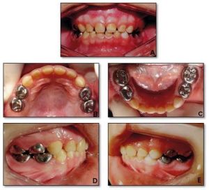
درمان ترمیمی و پروتزی در دندان ها شیری

به کمک مواد موقت و دایمی می‌توان تاج دندان ها شیری به صورت داخل تاجی ( پرکاری مستقیم مواد ) و خارج تاجی ( روکش فلزی ) این درمان را انجام داد.

درمان پریودنتیک در دندان ها شیری

آفات پریو شامل درگیری نسج سخت و نرم احاطه کننده و ساپورت کننده دندان ( استخوان ، لثه ، سمنتوم و PDL ) دندان ها شیری است. گرچه این بیماری ها معمول نیست ولی در صورت بروز می‌توان به کمک انتی بیوتیک تراپی بدون مداخله جراحی یا همراه آن ، scaling root planning جرمگیری ، تداوی التهابات لثه…انجام شود.

دیدگاهتان را بنویسید

نشانی ایمیل شما منتشر نخواهد شد. بخش‌های موردنیاز علامت‌گذاری شده‌اند *

این فیلد را پر کنید
این فیلد را پر کنید
لطفاً یک نشانی ایمیل معتبر بنویسید.
برای ادامه، شما باید با قوانین موافقت کنید