بهترین راه ها برای زیبا کردن دندان
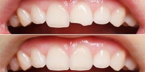
امروزه یکی از معیارهای مهم زیبایی، داشتن دندان های سفید و بی نقص و لبخندی جذاب است. دندان های زیبا چهره را مهربان تر و جذاب تر جلوه می دهند. از این رو درمان های زیبایی لبخند و دندان ها روز به روز محبوبیت بیشتری پیدا می کنند. اگر میخواهید به لبخندی ایده آل دست پیدا کنید، ابتدا باید بدانید چه نوع درمان زیبایی دندان برای شما مناسب است.

انواع درمان های زیبایی دندان
۱– سفید کردن دندان ها:
سفید کردن دندان ها پرکاربردترین درمان زیبایی در دندانپزشکی است. برای سفید کردن دندان ها چند روش وجود دارد:
- بلیچینگ دندان ها در بلیچینگ دندان ها با استفاده از مواد شیمیایی سفید کننده دندان ها سفید و براق تر می شوند این درمان را میتوان در خانه یا مطب انجام داد.
- باندینگ کامپوزیت
- لمینت
- روکش دندان

۲– باندینگ کامپوزیت دندان
باندینگ کامپوزیت که به کامپوزیت کردن دندان ها یا لمینت کامپوزیتی هم شناخته میشود، تنها برای سفید کردن دندانها استفاده نمی شود بلکه روشی برای رفع اشکالات جزئی دندان است. در این روش محلولی به نام رزین کامپوزیت به سطحی از دندان که در معرض دید است مالیده می شود و سپس سخت می شود. قرارگیری این لایه باندینگ روی دندان باعث سفیدتر شدن دندان ها و همچنین اصلاح مشکلاتی مانند لب پر شدگی یا ترک های جزئی دندان می شود.
۳– لمینت سرامیکی
لمینت یا ونیر دندان یک پوسته بسیار نازک است که بر روی دندان چسبانده می شود تا اشکالات خفیف تا متوسط دندان را بپوشاند. لمینت کردن دندان ها برای اهداف مختلف انجام میشود. مثلاً جهت سفیدتر کردن دندان ها، اصلاح ترک خوردگی یا لب پرشدگی، بستن فاصله بین دندان ها، اصلاح کجی دندان ها و همچنین بد شکلی سطح یا لبه دندان ها.
۴– روکش دندان
گاهی اوقات که اشکالات دندان گسترده تر از حدی است که با کامپوزیت یا لمینت برطرف شود میتوان از روکش دندان برای زیبایی دندان ها استفاده کرد.
۵– درمان ارتودنسی
گاهی اوقات کجی و نامرتبی دندان ها بیشتر از حدی است که بتوان با لمینت یا روکش اصلاح کرد. در این موارد برای داشتن دندان هایی صاف و مرتب باید درمان ارتودنسی انجام بدهید. توجه داشته باشید درمان ارتودنسی امروزی محدود به سیم کشی دندان ها یا همان براکت فلزی نیست بلکه روش های متعددی از جمله ارتودنسی نامرئی برای این منظور وجود دارد.
۶– جراحی لثه برای اصلاح لبخند لثه ای
برای کسانی که هنگام صحبت کردن یا خندیدن، بخش زیادی از لثه شان دیده می شود جراحی لثه و یا افزایش طول تاج دندان به اصلاح این مشکل و زیبایی لبخند کمک می کند.
۷. گذاشتن نگین دندان
آیا در خانه میتوانیم دندانهایمان را سفید کنیم؟
بله. محصولات مختلفی برای سفید کردن دندان ها در خانه وجود دارند که هر کدام از آنها تا حدی میتوانند در سفید کردن دندان ها موثر باشند. انواع روشهای خانگی سفید کردن دندان ها عبارتند از:
- خمیر دندان سفید کننده
- ژل سفید کننده همراه با تری (قالب) پیش ساخته
- چسب سفید کننده
- دهانشویه سفید کننده

همچنین می توانید با مراجعه به دندانپزشک، تری یا پلاک مخصوص دندان های خود را بسازید که ژل سفید کننده را داخل آن بریزید و در منزل استفاده کنید. مزیت این روش این است که می توانید دندان های خود را در خانه سفید کنید و از طرفی چون پلاک دقیقاً قالب دندان های شما است، ژل سفید کننده کمتر بیرون میزند و احتمال تحریک و التهاب لثه کمتر می شود. از آنجایی که ژل سفید کننده را دندانپزشک برای تان تجویز می کند و دستورالعمل دقیق استفاده از آن را در اختیارتان قرار می دهد تا حد زیادی می توانید با خیال آسوده و بدون نگرانی از بابت عوارض از این روش استفاده کنید.
سفید کردن دندان ها در مطب دندانپزشک چگونه است؟
برای سفید کردن دندان ها در مطب ابتدا ژل یا محلول محافظ به لثه ها مالیده می شود تا مواد سفید کننده بلیچینگ با آنها تماس پیدا نکند. سپس دندان به ژل بلیچینگ آغشته می شود. ژل بلیچینگی که در اختیار دندانپزشکها قرار دارد غلظت خیلی بیشتری نسبت به محصولات سفید کننده خانگی دارد بنابراین خیلی زود اثر می گذارد.
چند دقیقه ژل در تماس با دندان ها می ماند و سپس دندانپزشک ژل را برمیدارد و لثه و دندانها را کامل تمیز می کند. گاهی اوقات برای تسریع تاثیر گذاری بلیچینگ از لیزر یا نور مخصوص دیگری استفاده می شود.
معایب و مزایای سفید کردن دندان ها در مطب
۱- مزایا
- این کار ظرف یک یا نهایتاً چند جلسه تمام می شود، در حالی که برای سفید کردن دندان ها در خانه باید چند هفته تا چند ماه درمان را ادامه بدهید
- بلیچینگ تحت نظر دندانپزشک انجام می شود بنابراین احتمال صدمه دیدن لثه و یا مینای دندان بسیار کم است.
- پیش از بلیچینگ دندان پزشک دهان را کامل معاینه می کند تا مطمئن شود مشکلی در لثه یا دندان ها وجود ندارد. اگر مینای دندان ها از بین رفته باشد، ممکن است بلیچینگ برای شما مناسب نباشد. همچنین اگر پوسیدگی دندان و یا عفونت لثه داشته باشید توصیه میشود ابتدا آنها را درمان کنید و سپس برای سفید کردن دندان ها اقدام نمایید.
۲- معایب
- ممکن است هزینه آن بیشتر از درمانهای خانگی تمام شود.
- لازم است برای این کار به مطب دندانپزشکی مراجعه کنید.
در چه مواردی کامپوزیت یا لمینت کردن دندان ها به جای بلیچینگ توصیه می شود؟
- اگر علاوه بر زردی و بدرنگی، دندانهایتان مشکلات دیگری هم داشته باشند روش های دیگری مانند کامپوزیت لمینت و یا روکش ممکن است بهتر باشد.
- در مواردی که لکه و بدرنگی دندان با بلیچینگ کامل برطرف نمی شود بهتر است از روش های دیگر استفاده شود.
کاربرد باندینگ کامپوزیت لمینت یا روکش در زیبایی دندان ها

- صاف و هموار و همتراز کردن سطح دندان و لبه های دندان
- سفید کردن دندانها
- بستن فاصله اضافی بین دندانها
- اصلاح کجی دندانها که به ارتودنسی فوری شهرت دارد.
- ترمیم لب پر شدگی ترک خوردگی و شکستگی
- کوتاه تر یا بلندتر کردن یک یا چند دندان
- اصلاح لبخند لثه ای
درمان های زیبایی چه عوارضی ممکن است داشته باشند؟
اگر این درمان ها را نزد متخصص دندانپزشک زیبایی انجام ندهید، ممکن است عوارضی به وجود بیاید. از جمله عوارض احتمالی درمانهای زیبایی دندان ها عبارتند از:
- حساسیت دندان
- تحریک و التهاب لثه
- در نظر نگرفتن فاکتورهای زیبایی لبخند و چهره و در نتیجه عدم زیبایی نهایی لبخند
چند دندان خود را باید لمینت یا کامپوزیت کنم تا لبخندی زیبا داشته باشم؟
تعداد دندانهایی که زیباتر می کنید بستگی به این دارد که هنگام لبخند کدام دندانها بیشتر دیده می شوند. معمولا حداقل باید شش دندان جلویی بالایی را لمینت کنید تا در کل لبخندتان زیباتر شود اما گاهی اوقات تعداد بیشتری از دندانها لازم است اصلاح شوند. در این زمینه با دندانپزشک زیبایی مشورت کنید.
برای زیبایی دندان ها و لبخند به چه دکتری باید مراجعه کنیم؟
به طور کلی درمان های زیبایی دندان پزشکی را بهتر است نزد متخصص دندانپزشکی زیبایی انجام بدهید. دندانپزشک زیبایی علاوه بر دوره دندانپزشکی عمومی چند سال در زمینه درمانهای زیبایی دندانپزشکی تحصیل کرده است و در این زمینه مهارت و تخصص خوبی کسب کرده است. دندانپزشک زیبایی عناصر زیبایی لبخند مانند تقارن، نسبت درست بین ارتفاع و پهنای دندان، ارتفاع لثه، تناسب بین رنگ دندان و رنگ پوست، ابعاد مناسب دندانهای مختلف (برای جلوگیری از یکدست شدن همه دندانها و در نتیجه مصنوعی شدن لبخند) و موارد متعدد دیگر را به خوبی میشناسد و آنها را هنگام درمان های زیبایی در نظر میگیرد.
